• 首页Portal
  • 焦点
  • 商业
  • 财经
  • 品牌
  • 地产
  • 新闻
  • 上证指数
    4075.920-0.64%
    深证成指
    13952.710-1.44%
    恒生指数
    26885.2400.14%
    创业板指
    3260.280-1.55%
    纳斯达克
    22904.580-1.51%

    这能忍?智齿反复“作妖”终于要对它下手了

    EDIT 2021-7-1 17:42 14487人围观 生活消费

    # 生活消费

    说起智齿,很多人认为智齿是智慧的象征,其实智齿跟个人的智慧没有任何关联,智齿带来的疼痛反倒让很多人陷入不堪回首的回忆中。长智齿这件事儿,说大不大,不过一颗小小的牙齿,说小也不小,长的不合适容易引发大危害!

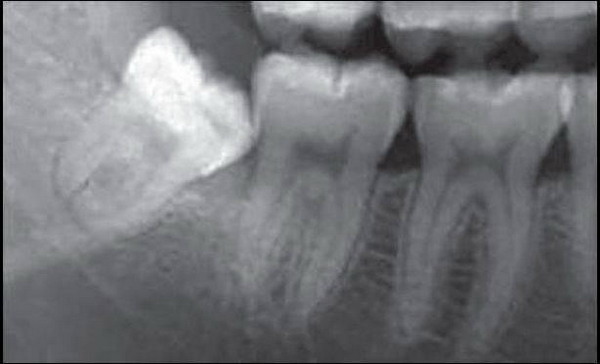
    智齿的专业名词是第三磨牙,是恒牙中最后萌出的牙齿。一般在18岁以后才萌出,口腔内上下左右共4颗。现代人中长了一个以上智齿的占68.2%,其中下颌智齿的阻生率较高,约为52.3%。阻生智齿不能整齐排列于牙列中,会倾斜生长,易与旁边牙齿形成缝隙。再加上牙缝间容易存留食物残渣,这就为细菌生长繁殖制造了有利条件,从而容易造成智齿和邻近牙齿的龋坏以及智齿冠周的牙龈红肿。

    今年大三的小许同学也是因为饱受智齿折磨,才下决心拔掉智齿。此前小许发现自己右下长了阻生智齿,并将前面的大牙给顶坏了,她去到医院将大牙补好后医生建议她把智齿也拔掉,但因为害怕拔牙,小许觉得反正智齿也不疼并没有听医生的建议。

    萌出不全的智齿被周围软组织包围,里面的细菌“好吃好喝”不说,还会造成冠周炎。当初小许发誓:“宁愿牙痛痛死,都不愿体验拔牙的痛苦。”而最后,她没有被痛死,而是把自己的牙神经“熬”死了。

    北京维乐口腔医院张骞主任表示:“大部分生有智齿的人都会面临像小许这样的困扰,智齿不能完全萌出,其牙冠常被牙龈覆盖住一部分。这个开口就像是扁扁的口袋,学名冠周袋,在进食的过程中,很容易积存食物残渣。”这里有适宜的温度、湿度和食物供给,简直就是细菌的乐园,它们尽情造作的结果就是智齿容易遭遇龋坏和反复的发炎。

    大多数人认为智齿不疼就可以不用管了,但即使智齿暂时不疼,也不要大意,它可能引发多种问题。容易滋生细菌、引发龋齿、牙冠损伤、造成牙齿不整齐的现象。而且,阻生的智齿往往不能与对颌牙齿建立正常的咬合关系,长时间可导致颞下颌关节弹响、牙合疼痛,夜磨牙等症状,对青壮年的身心健康影响较大。

    阻生智齿可能引发的危害不仅于此,所以,对于不能正常萌出的智齿,还是尽早拔除为好。而且,随着现代医疗技术的进步,口腔医院诊所不断提升患者就医体验,每个科室的每一台器械、每一个动作、每一个角落都变得“有温度”起来,无论从技术上还是服务体验上都可以有效消除患者对智齿拔除的恐惧。



    中国首席商业资讯门户;更多内容请关注中国商业网各频道、栏目资讯

    免责声明:凡本站注明 “来自:XXX(非中国商业网)”的新闻稿件和图片作品,系本站转载自其它媒体,转载目的在于信息传递,并不代表本站赞同其观点和对其真实性负责 。

    相关推荐